Case症例の記事一覧
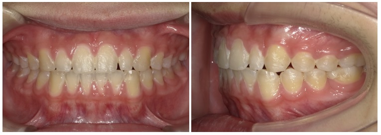
治療前
治療後
投稿日:2021.08.01カテゴリー:すきっ歯(空隙歯列)
空隙歯列とは、歯と歯のあいだに隙間があいているいわゆる、すきっ歯と呼ばれる状態です。空隙歯列は、顎の骨が大きくて歯が小さい場合、または生えている歯の数が足りないために、歯が並ぶためのスペースが多すぎることにより生じます。また、舌が大きかったり、舌を出す習癖があり、口唇や頬の筋力が弱い場合、歯が唇側(外側)に移動し、歯と歯の間に隙間が空いて、空隙歯列になることもあります。
| 初診時年齢 | 10代 男性 |
|---|---|
| 主訴 | すきっ歯が気になる。 |
| 矯正装置 | マルチブラケット装置(表側) |
| 治療期間 | 3年6か月 |
| 治療費 | 60万円+毎回の調整料(4000円) |
| 診断 | マルチブラケット装置による個性正常咬合の確立(非抜歯) |
| 治療 | 歯ブラシが不十分であると治療中に虫歯や歯肉炎をおこすことがある。治療後に親知らずを抜かずにいると歯並びが乱れたり、奥歯の根が傷むことがある。 |
