Case症例の記事一覧
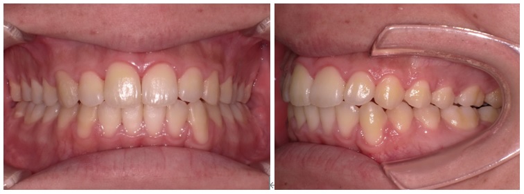
治療前
治療後
投稿日:2021.08.02カテゴリー:顎変形症
上あごと下あごの大きさや位置が大きくズレていると、上下の歯がうまく咬み合わず、あごの形も歪んでしまいます。ある程度のズレは歯の位置で補正することができますが、あごのズレが非常に大きい場合、歯の矯正歯科治療だけでは咬みあわせを治すことはできません。このような場合、外科手術によってあごをバランスのよい位置に移動させます。あごを移動させただけでは上下の歯はきちんと咬み合わないので、矯正歯科治療を受けなければなりません。このように、矯正歯科治療単独ではなく、外科手術を併用して咬み合わせを改善する不正咬合を顎変形症といいます。
| 初診時年齢 | 20代 男性 |
|---|---|
| 主訴 | 歯並びが気になる |
| 矯正装置 | クアドヘリックス、マルチブラケット装置(表側) |
| 治療期間 | 4年0か月 |
| 治療費 | 矯正費用と外科手術・入院費用を合わせて約50万円 |
| 診断 | 外科手術(上下顎骨切り術)を併用するマルチブラケット装置による矯正歯科治療(非抜歯) |
| 治療 | [リスク・副作用]外科手術後に下唇の感覚が一時的に鈍くなるや骨を削った部分の近くの歯の色が悪くなることがあります。また、術後に顔の腫れが引きにくい方や、鼻の通りが悪くなったと感じられる方もおられます。 |
