Case症例の記事一覧
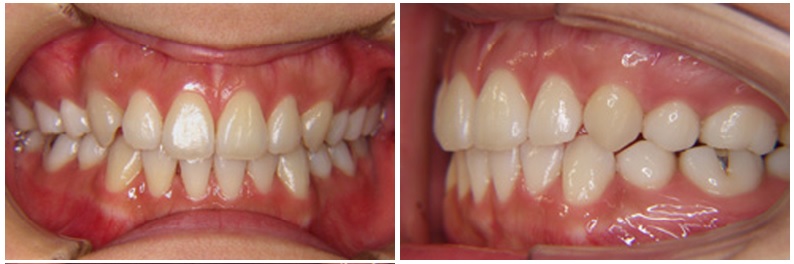
治療前
治療後
投稿日:2021.08.01カテゴリー:八重歯・乱ぐい歯(叢生)
歯ならびがデコボコになっている状態を「乱ぐい」といいます。上の糸切り歯が歯ならびから飛び出しているのを「八重歯」と呼びます。 日本では「かわいい」と言われることもありますが、欧米では「ドラキュラの歯」と呼ばれ嫌われます。歯がならぶ場所=骨の大きさとそれぞれの歯の大きさとの間のアンバランスでこのようになります。歯みがきの時に歯ブラシが行き届かずに汚れが残りやすく、虫歯や歯槽膿漏の原因となります。
| 初診時年齢 | 20代 女性 |
|---|---|
| 主訴 | 前歯の歯並びが気になる。 |
| 矯正装置 | マルチブラケット装置(表側) |
| 治療期間 | 2年3か月 |
| 治療費 | 60万円+毎回の調整料(4000円) |
| 診断 | 上下顎第1小臼歯抜歯 マルチブラケット装置による個性正常咬合の確立 |
| 治療 | [リスク・副作用]歯ブラシが不十分であると治療中に虫歯や歯肉炎をおこすことがある。上下顎前歯の移動の際、歯肉退縮や歯根吸収のリスクがある。治療後に親知らずを抜かずにいると歯並びが乱れたり、奥歯の根が傷むことがある。 |
